膝关节炎又称膝关节骨关节病、退行性关节炎、增生性关节炎、老年性关节炎等。它是一种从软骨退行性变开始而累及骨质、滑膜等关节结构的慢性损伤性疾病,伴随修复通常有炎症过程,故称之为骨性关节炎。
1、疼痛
根据疼痛程度从轻微到严重可分为五度:
1度:不痛
2度:轻度
3度:中度
4度:重度
5度:剧烈
多数患者膝痛属于轻度和中度,多为钝痛,伴沉重感、酸胀感,淤滞感,活动不适。
2、肿胀:部分患者关节肿胀,并反复发作。
3、畸形:膝关节可出现内翻或外翻畸形,关节骨缘增大。有些患者不能完全伸直膝关节,严重者则膝关节呈屈曲挛缩畸形。
4、功能障碍运动节律异常:打软腿、弹响声、绞锁症。运动能力减弱:关节僵硬、不稳、屈伸受限、步行能力。

1、近1个月内反复膝关节疼痛,活动功能减弱。
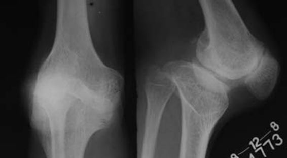
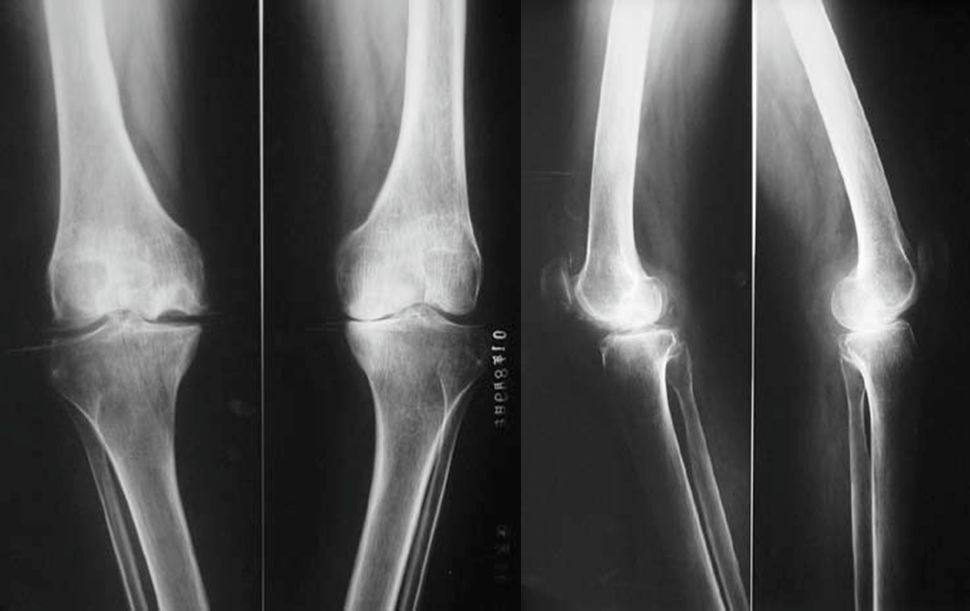
2、X线片(站立或负重位)示关节间隙变窄、软骨下骨硬化、和(或)囊性变、关节缘骨赘形成。
3、中老年患者(≥40岁)。
4、晨僵≤30min 。
5、活动时有骨摩擦音(感)。
6、膝关节骨端肥大,局部呈不同程度肿胀。
7、膝关节屈伸活动范围减少或受限。
8、膝关节畸形改变,以膝关节内翻畸形最为常见。
患肢伸直,医生一手虎口对着髌骨上方,手掌压在髌上囊,使液体流入关节腔,另一手食指以垂直方向按压髌骨,若感觉髌骨浮动,并有撞击股骨髁部的感觉,即为阳性征,表明关节内有积液。
浮髌试验
患者仰卧,医生一手,握住患肢足部,另一手拇指及其余四指分别摸住膝关节内、外侧关节间隙,先使膝关节极度屈曲,然后将小腿内收,外旋,并逐渐伸直膝关节,此时内侧膝关节疼痛或有弹响,说明内侧半月板损伤。反之使小腿外展、内旋,逐渐伸直膝关节,如有外侧膝关节疼痛或弹响,说明外侧半月板损伤。
患者仰卧,屈膝至90°位,肌肉放松,医者双手握小腿上端将其向前和向后反复拉推。正常时无活动,如向前滑动,提示前交叉韧带损伤;向后滑动,则表示后交叉韧带损伤。
患者取仰卧位,膝关节伸直,医师一手握住踝关节向外侧推抬,另一手置于膝关节外上方向内侧推压,使内侧副韧带紧张度增加,如膝关节内侧疼痛为阳性,提示内侧副韧带损伤,如向相反方向加压,外侧膝关节疼痛,提示外侧副韧带损伤。
本试验是鉴别侧副韧带损伤与半月板破裂的方法。患者俯卧,髋关节伸直,患膝屈曲90°,医者将其大腿固定,用双手握住患足,挤压膝关节,并旋转小腿,引起疼痛者为阳性,提示半月板损伤;反之,将小腿提起,使膝关节间隙增宽,并旋转小腿,如引起疼痛,则为侧副韧带损伤。


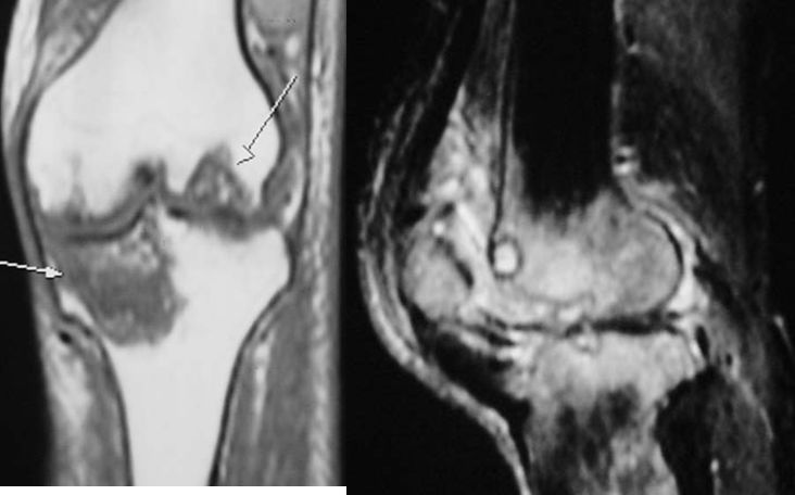
关节肿胀

关节破坏—神经性关节炎所致的关节破坏和周围软组织的骨化。


关节破坏

关节退行性变

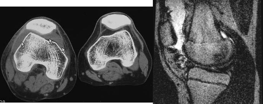
纤维性强直

骨性强直
1、关节间隙变窄:成人膝关节间隙为4mm,小于3mm即为关节间隙狭窄,60岁以上的老人膝关节间隙为3mm,小于2mm为关节间隙狭窄。
2、软骨下骨板硬化:软骨下骨板致密、硬化,负重软骨下骨质内可见囊性改变。
3、骨赘形成。


软骨下骨板硬化
全身状况多属正常。关节滑液分析也正常,清晰、淡黄、粘稠度高,白细胞计数常在1000以内,偶尔可以达到几千,主要是单核细胞,偶然见黏蛋白凝块坚实,有时可见红细胞、软骨和纤维碎屑。
膝关节侧副韧带损伤:在韧带损伤部位有固定压痛,常在韧带的上下附着点或中部,膝关节呈半屈曲位,活动关节受限,侧方挤压试验阳性。膝关节半月板损伤:有外伤史,伤后关节疼痛、肿胀,有弹响和绞锁现象,膝内外间隙压痛,慢性期股四头肌萎缩,以股四头肌内侧尤为明显,麦氏试验和研磨试验阳性。
